'DÜNYA LİTERATÜRÜNE BİLDİRECEĞİZ'
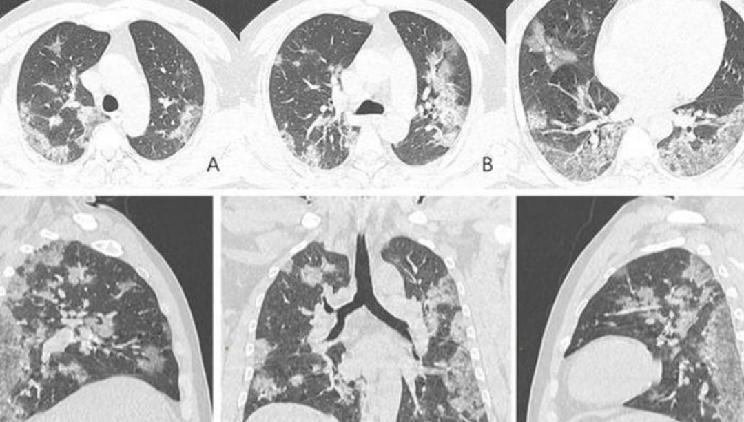
Burakhan Sönmez'in tedavi sürecini yürüten Gazi Üniversitesi İç Hastalıkları Yoğun Bakım Öğretim Üyesi Doç. Dr. Melda Türkoğlu, corona virüsün üst ve alt solunum yolu enfeksiyonuna yol açan bir virüs gibi görünmesine rağmen tüm vücudu etkileyen multisistemik bir hastalık olduğuna dikkat çekti.